福井県立病院 > 診療科・医療技術部門・センター > 診療科(中央医療センター) > 眼科
眼科
- keyboard_arrow_down 紹介・特色
- keyboard_arrow_down 実績データ
- keyboard_arrow_down 対象疾患名
- keyboard_arrow_down 施設認定
当科は、眼科の急性期病院としての機能を担っており、緊急に処置を要する疾患、他院からの紹介、重症の方、全身疾患の合併がある方の多いことが特徴です。
国からの指導に従い、地域医療機関(かかりつけ医)との役割分担を重視し、紹介状を持参された方を優先して診療を行っています。
紹介状を持参の方へ
当日、紹介状を持参されても、予約の方の診療等で待ち時間が長くなる場合がありますので、どうぞご容赦ください。
紹介状をお持ちでない方へ
緊急疾患の方は当科で対応させて頂きますが、それ以外の方は地域医療機関(かかりつけ医)での診療をお願いしております。
当院では眼鏡、コンタクトレンズの処方は原則として行っていません。
紹介・特色
かかりつけの先生との密接な病診連携
高齢化社会に伴い、白内障、緑内障、加齢黄斑変性症あるいは糖尿病網膜症などの長期にわたる管理と治療が必要な患者さんが増加しています。当院では精査と治療を行った後、病状と病態が安定した時点でかかりつけ医へ積極的に逆紹介させていただいています。かかりつけ医での経過観察中に必要と判断された場合の迅速な当科受診など、患者さんの負担の少ない密接な病診連携の体制を整えています。
白内障手術
最新の器械を導入しており、約2.5ミリという極小切開で手術をしています。これまでの方法よりも早期の回復が可能となりました。
硝子体手術
糖尿病網膜症、網膜剥離などの網膜硝子体疾患に対する手術を行っています、広角観察システム、小切開硝子体手術(25または27ゲージ)を導入しており、より低侵襲の手術が可能となりました。
対象疾患名
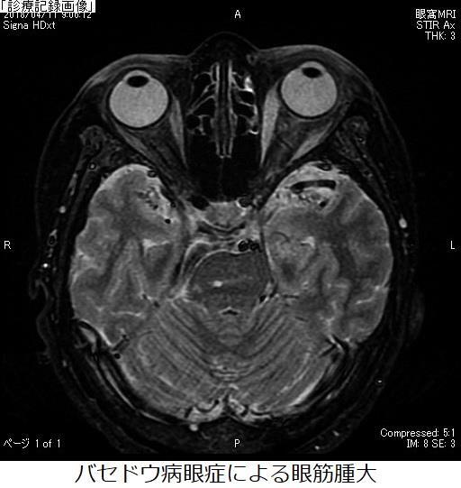
白内障、緑内障、糖尿病網膜症、網膜静脈閉塞症、黄斑円孔、加齢黄斑変性症、ドライアイ、眼瞼下垂、眼瞼痙攣、顔面痙攣、複視、甲状腺眼症




