福井県立病院 > 診療科・医療技術部門・センター > 医療技術部門 > 検査室 > 検査の紹介
検査室
生化学検査
肝機能、腎機能等、各臓器の働きに関係する酵素を血液や尿を用いて化学的に分析測定しています。その他、糖尿病・生活習慣病関係の検査や、ガン腫瘍マーカー、B型肝炎、C型肝炎、梅毒等の検査も行っています。生化学検査はほとんどが機械化されていて、少量かつ短時間で多くの検体の検査ができます。その一人一人のデータに異常がないかを技師がチェックして、精度が高く信頼性のあるデータを報告しますので、安心して診療を受けていただけると共に、患者さんの診察の待ち時間を短縮するのにも役立っています。
血液検査
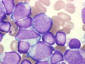
多項目自動血球分析装置により貧血の検査、血球の分析等を行い、必要な場合には塗沫標本を作製し染色して顕微鏡で赤血球、白血球等の形態的異常を観察し報告しています。凝固・線溶検査は出血、止血などの機序に異常がないか調べる検査で、手術前検査、ワーファリン等の経口抗凝固薬の服薬コントロールに必要な検査です。さらに精密検査として骨髄像検査も行っています。骨髄での造血状態を調べて、貧血や白血病等の診断・病態把握のためのデータを提供しています。その一環として当院では、主治医の判断により、血液疾患(主に白血病)の患者さんの治療経過中に、治療前後の血液像の標本の供覧による説明を行っています。
一般検査
一般検査では、尿、便、体腔液、髄液などの性状検査、顕微鏡検査を行っています。尿は簡単に採取できて、しかも体の状態をよく反映しているので診察の最初に行われる最も有用な検査です。又、妊娠から出産までの各検査や、髄膜炎、脳炎などを疑うときの検査も行っています。
細菌検査
細菌検査は、便、喀痰、尿、血液、膿など患者検体からさまざまな細菌を検出し、同定(菌の種類を決定する検査)を行い、どんな薬剤が効くのか(薬剤感受性試験)を調べています。又、院内感染防止対策の一環として、耐性菌(薬が効きにくい細菌)の検出の際には関連部署と連携をとったり、最新の感染症情報を把握・活用することで感染予防に努めています。
輸血検査
近年輸血の安全性は高まりましたが、まれに重篤な副作用やウイルス感染症が起こることがあります。輸血検査室では24時間体制で臨床検査技師が検査しており、輸血が安全に行われるための検査(血液型、不規則抗体検査⦅赤血球に対する抗体⦆、交差適合試験⦅輸血をしても大丈夫かどうかを調べる⦆)や血液製剤の管理を行っています。
全自動輸血検査システム
全自動輸血検査システムは、血液型検査などの輸血関連検査を全自動で行い、検査結果はオンライン入力されます。これによって人為的ミスがなくなり、当院の輸血医療の安全性はさらに高くなりました。
生理検査
生理検査室では様々な医療機器を用いて体の形態や機能を調べています。心電図・ホルタ―心電図・トレッドミル運動負荷試験・超音波検査・CAVI等の循環器系検査、脳波・筋電図等の脳・神経系検査、肺活量等の呼吸機能検査、聴力・平衡機能等の耳鼻科系検査に大別されます。心臓超音波検査では心臓の形態と機能を総合的に評価することができ、弁の逆流・狭窄等も見つけることができます。また、頸部血管超音波検査では脳虚血の原因や動脈硬化の程度も分かります。その他、神経障害・手根管障害等の伝導障害の診断、経過観察に有用な神経伝導速度、筋電図等の検査も行っています。また、数年前より事件や事故で注目され、近年循環器系の病気とも関係があると言われている睡眠時無呼吸症候群(SAS)の診断検査も行っています。
循環器系 |
脳神経系
|
血管系 |
呼吸器系
|
病理・細胞診
病理検査は手術や生検などで採取された組織等を固定し、病理学的診断を行うための顕微鏡標本を作成します。又、免疫組織化学検査等で患者さんの病態に合わせた治療を行うためのデータも提供します。手術中に腫瘍の一部を取り出して超低温で急速凍結し、特別な装置で標本を作成し、病理医が悪性かどうかを診断して速やかに手術室に結果を返す、術中迅速診断も行っています。
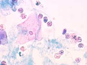
細胞診検査は、患者さんの負担も少なく、婦人科擦過材料や喀痰、尿等に含まれている細胞を、細胞検査士がスクリーニングし良性か悪性かを判定して、細胞診専門医が確定診断を行う検査です。
その他病因究明のために病理解剖も行っています。
遺伝子検査
がんの診断において組織診断、細胞診断に加えて、遺伝子検査が重要になっています。また、分子標的治療薬と呼ばれる抗がん剤の治療選択において、遺伝子検査は必須になっています。当検査室では、病理診断科の医師との連携のもと、がんの遺伝子検査を院内で行うことにより、迅速に結果を報告するように努めています。
現在、行っている遺伝子検査は以下の通りです。
1.免疫関連遺伝子再構成
-
IgH再構成DNA定性検査
-
TCRγ再構成DNA定性検査
2.悪性腫瘍遺伝子検査
-
肺癌におけるEGFR遺伝子検査
-
大腸癌におけるRAS, BRAF遺伝子検査
-
消化管間葉系腫瘍(GIST)におけるc-kit, PDGFRα遺伝子検査
-
胃癌、乳癌におけるHER2遺伝子検査










