福井県立病院 > 診療科・医療技術部門・センター > 医療技術部門 > 放射線室 > 検査の紹介
放射線室
一般X線撮影検査
FPD(フラットパネルディテクタ)はスクリーン-フィルム系に代わる最新のX線検出器で、より優れた画像が得られる装置です。
またX線エネルギーを間接デジタル変換し、フィルムなどの入れ替えなしでそのまま画像データを送信するので、撮影から画像出力までの時間が大幅に短縮されています。さらに従来のシステムより少ない線量で撮影できるため患者さんの被曝も低減しています。
X線TV検査
Ⅹ線TV装置は、身体の動きや状態を透視像でリアルタイムに見ながら、最適な画像を撮影する装置です。主な検査としては、消化管造影検査、骨折などを整復するための整形外科的検査、内視鏡を併用する検査です。
当院のⅩ線TV装置は、FPD(フラットパネルディテクタ)を搭載しているものもあり、従来の装置と比べ低線量での検査が可能で、より質の高い画像を提供しています。
CT検査
CT検査は種々の角度からX線を照射し、人体を通過したⅩ線量を測り、コンピュータを使って輪切り断面を画像化する検査です。ベッドの上に横になって頂き、大きなドーナツ型の機械に入っていきます。検査時間は、撮影部位や内容により異なりますが、5~15分程度です。MDCTと呼ばれる最近の装置では、一回転で複数の断面の情報を得ることができるため、広範囲の細かな病気の画像を短時間で得ることができるようになりました。
当院では256列、64列が2台の計3台のCTが稼働し、予約検査のみならず当日検査や緊急検査、心臓CT、肺検診などにも対応しています。
MRI検査
MRI(Magnetic ResonanceImaging)は、大きな磁石による強い磁場とFMラジオに使われているような電波を使って、体の断層画像を得る検査です。CTとの大きな違いは、X線を使わない画像診断です。
令和6年4月に新しく3T装置を導入し、より詳細な検査を行うことが出来るようになりました。また、開口径のより広いワイドボアを採用しています。身体の大きな方、狭いところが苦手な方にも対応することが可能です。
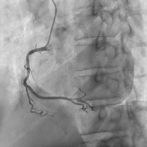
血管撮影検査
腕や足の比較的太い血管からカテーテルと呼ばれる細い管を入れ、心臓や脳、腹部の血管など選択的に挿入し、その先から造影剤を注入し、造影された血管の走行状態、病変まで撮影、治療を行います。
心臓用、頭部用、腹部用(+IVRCT)、ハイブリッド血管撮影装置の4台の装置が稼働しており、緊急検査・治療にも対応しています。
RI検査
微量の放射性同位元素(アイソトープ)で目印をつけた薬を静脈注射したり飲むことにより、その薬が特定の臓器や組織に取り込まれ、そこで放射線(γ線)を出します。その放射線を特別なカメラ(ガンマカメラ)で撮影し、その分布を画像にします。当院では2台の装置が稼動しています。
検査件数(件)
| 令和2年度 | 令和3年度 | 令和4年度 | 令和5年度 | 令和6年度 | |
|---|---|---|---|---|---|
| 一般撮影 | 55,717 | 61,311 | 64,469 | 64,950 | 66,677 |
| TV検査 | 1,809 | 2,156 | 2,349 | 2,192 | 2,346 |
| 血管造影 | 1,336 | 1,507 | 1,457 | 1,598 | 1,354 |
| CT検査 | 27,569 | 30,442 | 32,471 | 31,450 | 31,729 |
| MR検査 | 10,460 | 11,049 | 11,651 | 11,462 | 11,668 |
| RI検査 | 830 | 827 | 744 | 784 | 864 |
| PET検査 | 554 | 572 | 609 | 597 | 657 |






























